The Ralphs

Home page
To Mamas page

Mama
To Papas page

Papa
To Jacks page

Jack
To Jennys page

Jenny
To Toms page

Tom
uno and dos

Uno and Dos
other stuff

Other stuff

Tom's page

Hola,

I'm the latest edition to the Ralph family - my name is Tom Ralph - pretty cool name eh!  You can call me Tom!

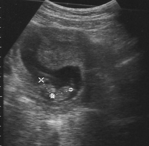
Do you like my photo? I don't think they got my best side! If you look carefully you can see my head and body, but the rest is a bit hazy. I'm almost 13 weeks old and doing fine. They say that I'll be ready for the big wide world at the end of October, but we'll have to wait and see what I feel like – I might wait till November!
Mummy, Daddy and I are very excited about meeting each other properly, but they have told me that I have a lot of growing to do before then.

When I had my photo taken last week I did a little dance for Mummy and Daddy so that they could see that I was happy, and my heart was beating strong.
Mummy isn’t feeling too good at the moment, but I hope to help her to feel her normal self very soon.

My brother and sister are very pleased that I’m coming in the October half term, my brother has said that he wants to teach me how to play football.

Well, keep in touch as the next addition to my portfolio will be at the end of April/ beginning of May.

Love you already

Tom
News flash....... baby update!!!!! Here's my latest photo (taken at 17 weeks old), and this time I thought I'd give you a full frontal view. The circle on the left is my head and if you look carefully you can see my eye sockets and little nose. The circle on the right is my belly, I may look a bit tubby, but I've just had my lunch! Mummy, Daddy and I have had a very busy time recently.............the other Friday we went to see the midwife, as I was waiting for a blood test and scan. The following Monday morning we went to hospital to do the scan and blood test. The scan didn't take too long, but we had a long wait for the blood test so Daddy bribed a police officer to swap his appointment, which was earlier than ours, for 20 euros....well done Daddy, nothing ventured nothing gained! On Thursday we went to Orihuela for a more detailed scan, and then back there again the next morning for another blood test. Poor Mummy, she'll have no blood left if they keep this up! Tomorrow morning, Monday, we're off to hospital again as the Obstetrician wants a chat about the blood test results of last week. We are all a bit worried, but will just have to wait and see what he says. We're gonna see the midwife on Tuesday, and I think Mummy will be weighed!!! But she is being very careful what she eats and I think that the midwife will be happy with her. We have another appointment for blood test results at the end of May and a scan booked in June, before our trip to the UK. Gosh, how popular do I feel...... I'm still not very big, just big enough to fit in the palm of your hand. So I've a long way to go yet. I'm kicking away and getting my exercise but Mummy can't feel me yet.... maybe this will have changed by the time I write next. Keep in touch and I'll up date you again soon. Lots of love to you all. Tom       x x
Hey, I'm gonna have all the chicks after me when I get this outfit on!!
Uno: Don't worry mum, it's all gonna be just fine.
I'm in here somewhere, I just wanna get out!
Sorry 'bout your ankles mummy, I promise I'll be worth it!
I've planned my escape and I reckon I'll be outta here before Sunday 17th October!!
Pretty neat little pad Mummy and Daddy have got sorted for me eh!
You wait, as soon as they're in bed, I'm having a humungus party to celebrate my arrival on planet earth and you're all invited!!
That's it, I'm getting too hot in here, I've just gotta get out!!!
and it's getting a little cramped for space as well!!!
See, I told you I had enough of it in there in mummys tummy, I'm the sort of guy who likes a little space!

I finally made my grand entrance to the wider world at 11.15am on Sunday 17th of October - Tom, mum and dad were all ok and I weighed 3.2kgs.
I think mummy and daddy look pretty chuffed with me!
Hey, I hope you two are not going to be doing that all the time! You embarrass me!

Save some of those kisses for me!!
Hey, look what I've got!!!!
Time for Father and son cuddles!
Me and my big bruv!

I reckon Jacks one cool guy, I can't wait for him to help me with this football malarkey and computer games!!!
1 month old.
Santas little helper!!!
2 months old.
Am I cute or what!!!!
3 months old.
4 months old.
In the parque, a few yards away from the house.
5 months old.
All this eating and drinking malarkey gets a bit tiring!!
6 months old. 1st day at nursery.
But Mama, your finger does taste good!!!
Tom with a mate from school, just about to go down the park
Tom having some games. Hasn't taken him long to make some new mates.
New years eve at friends.
Is it a plane? Is it a speeding train? No, it's Tom!
Tom with his local football mates. Toms on the far right.
And again with his local football mates! The one with the jacket on!
His school had a French day.